PREVENTIVE DENTAL TREATMENT
As the saying goes, "an ounce of prevention is worth a pound of cure".
Meticulous cleaning of your teeth at home, with brush, floss, and a fluoride toothpaste will go a long way to ensuring a long and healthy life for your teeth and gums. A healthy diet is also essential.
In addition, a regular dental checkup and professional cleaning [known as scaling] will remove hard deposits of calculus [tartar] and staining that can prove resistant to brush and floss. Calculus acts as an irritant to the gums and if not removed regularly, can lead to the gum diseases gingivitis and periodontitis. These result in gum recession and bone loss around the teeth roots leading eventually to tooth loss.
Our dentists will help you to understand the best ways to keep your teeth clean, your gums healthy, and give you dietary advice to minimize your future risk of tooth decay.
MODERN DIGITAL X-RAY IMAGING
Tahunanui Dental Centre were early adopters of digital radiography. This technology allows for enhanced visualization of the images taken as well as reducing the x-ray exposure to the patient. Additionally, the images are more easily stored and retrieved, do not deteriorate with time, and can be emailed to specialists or to your new dentist if you move away.
CBCT
CBCT scanning [Cone Beam Computed Tomography] is a relatively new imaging technology derived from CAT scans. It provides a 3-D image that can be very useful in diagnosis and treatment planning, especially for root canal treatments and oral surgery. Although we don't possess our own machine, we can obtain these images when necessary by referral to a specialist.
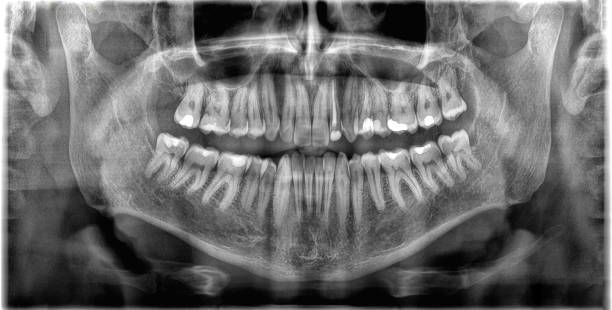
ORTHOPANTOMAGRAPH
Now that's a mouthfull ! Luckily, most dentists will refer to it as a OPG for short.
This type of radiographic image will often be taken if you are a new patient to the Practice [for screening purposes], or if your wisdom teeth might require removing. It is a good way to view both upper and lower jaws, sinuses and TMJ joints [your jaw joints] all at once.
DIAGNOSTIC AND PREVENTATIVE CARE
FREQUENTLY ASKED QUESTIONS
Text Coming Soon
KEEP YOUR TEETH & GUMS HEALTHY WITH EXPERT PREVENTATIVE CARE AT TAHUNANUI DENTAL CENTRE
Call 03 548 6564 to schedule your appointment.
